为您节约时间,可输入您的号码点击回电,直接电话咨询!
导语:2012年5月,莫小姐开始发现吞咽困难,气逆不能吃干饭,经当地中西医治疗无效,2012年7月,发展至吃稀粥也难下咽,呕吐痰涎,才到当地人民医院作食管吞钡透视,发现食管下段充盈缺损不规则狭窄约7cm,初诊为食管下段癌,心情极端痛苦。后就诊于当地肿瘤医院,进行手术治疗。术后半年,左肩关节疼痛一个月到医院就诊,检查发现癌症复发,出现骨、肺转移。
因无法忍受化疗的痛苦,便寻找替代的治疗方法,后经主治医生介绍到广州中医药大学金沙洲医院肿瘤综合诊疗中心就诊,通过中心专家诊断其为:食管癌术后复发。
超声检查
双锁骨上淋巴结肿大分别达6.0cm和4.0cm,质硬如骨骼、固定、无压痛,ECT示左肩胛骨、右股骨中下段骨代谢异常活跃,胸部CT发现两肺转移。

定制治疗方案
专家针对她的病情,采用“WB-1无创全身热疗系统”。通过WB-1无创全身热疗系统使患者的体温升至39.5℃~41.5℃,人为的给人体创造“发烧”的环境。而在此温度环境下,怕“热”的食管癌细胞就会被高热直接杀伤凋亡。其次,WB-1无创全身热疗系统可增加肿瘤组织内部化疗药的浓度,以增强化疗药物的疗效,因而达到增强化疗的疗效。此外,WB-1无创全身热疗系统还能激活处于麻痹状态的免疫系统,产生抗肿瘤免疫,从而抑制和杀灭食管癌转移灶或亚临床病灶。
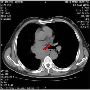
复查结果
治疗3周期后双锁骨上淋巴结明显缩小,4周期后双锁骨上淋巴结接近消失,两肺转移灶明显减少或缩小,左肩关节疼痛消失,声音嘶哑无变化。疗效评价为部分缓解(PR)。

此患者是广州中医药大学金沙洲医院肿瘤综合诊疗中心治疗食管癌成功病例之一。专家介绍,癌证复发不可怕,要保持积极乐观的心态,选择正确的疗法,积极配合医生的治疗,定期到医院检查。食管癌不同于其它疾病,治疗不当不但会贻误治疗的最佳时机,还可能导致病情加重。因此,食管癌治疗一定要到国家正规专业的医院。
点击快速进入预约挂号系统