为您节约时间,可输入您的号码点击回电,直接电话咨询!
典型结肠癌病例:
患者姓名:李某,女,33岁,结肠癌,广东揭阳人
简要病史:患者腹痛4个月。于当地医院诊断为肠癌IV期化疗后不见好转。
2013年7月05日转入广州中医药大学金沙洲医院肿瘤综合诊疗中心接受治疗,治疗后,
患者身体状况见明显好转。随访至今,患者依然健在。

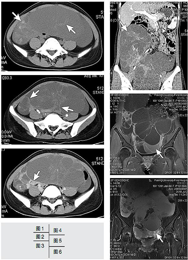
图1 CT平扫,为髂嵴上缘水平,可见下腹部有巨大囊性占位,囊内隐约可见分隔,部分有钙化(箭号)。
图2 增强CT扫描,较图1水平低,动脉期,示肿物呈多囊状,分隔轻度强化(箭号)。
图3 增强CT扫描,静脉期,病变的实性部分强化更加明显(箭号)。
图4 多层螺旋CT扫描,增强静脉期,冠状多平面重组(MPR)示病变为双侧、多房、囊实性,以囊性为主;右侧病变部位较高(箭号)。
图5和图6 磁共振成像(MRI),分别为脂肪抑制T1WI和脂肪抑制T2WI,冠状位,病变的多囊状结构显示更为清楚,多数囊内为T1较低信号和T2较高信号的液体,少数囊内T1WI与T2WI信号均较高,提示囊内液体的蛋白含量高或曾有过出血(箭号),盆腔内积液不明显。
病理检查示:卵巢(左侧)囊实性肿物,大小为23×14×8 cm,为中分化腺癌;肿瘤形态和免疫组织化学标记与横结肠癌一致,考虑为结肠癌转移。
■制定治疗方案
考虑到患者前期接受过放化疗的治疗,并且其身体产生了严重的放化疗副作用,因此我院专家特给予患者李某WB-1无创全身热疗系统的治疗方案,通过这套治疗方案的治疗效果,以期达到帮助患者李某彻底清除肿瘤组织的目的。在李某接受一个疗程的治疗效果后,专家通过CT图发现李某体内的肿瘤组织见明显缩小,遂给李某安排第二期的肿瘤治疗。在李某接受我院WB-1无创全身热疗系统治疗三个疗程后李某的病情完全得到了控制,其病情未出现反复,身体各项技能也均以恢复健康。


■点评
卵巢多发转移性黏液性癌被称为库肯勃(Krukenberg)瘤,多为胃肠道肿瘤的种植性转移,以双侧多见,呈多房囊实性,与肿瘤产黏液特性有关。
本例患者的肿瘤可见钙化,为黏液癌的特点之一。多数卵巢转移瘤伴有腹腔积液,但相对原发卵巢癌为少,除非伴有广泛的腹膜转移。原发肿瘤是诊断的重要参考依据。
点击快速进入预约挂号系统