为您节约时间,可输入您的号码点击回电,直接电话咨询!
【导读】作为家庭主妇的陈女士,为了家庭一直在默默付出,孩子们刚事业有成,本来可以安享晚年了,但天有不测风云,陈女士突然出现明显腹胀,下腹疼痛,发现腹腔积液,腹水化验有癌细胞,卵巢内有肿块,被诊断卵巢癌,情况十分严重,这对于陈女士及其家庭来说是沉重的打击。为挽救生命,家人访遍名医,终于在广州中医药大学金沙洲医院肿瘤综合诊疗中心看到了康复的希望。
【患者】陈女士,56岁,广东湛江人
【主诉】消瘦,腹痛加重
【病史】 “中耳炎”病史50余年,“右下肢静脉曲张”病史20余年,20年前行输卵管结扎术。
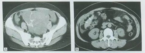
【检查】住院后行全腹CT检查,结果:双侧附件区占位符合囊腺瘤CT表现。较大者10.9*9.5cm,囊壁厚薄不均,内见多发分隔,病变填充盆腔,子宫及膀胱受压。肝脏多发压迹,腹膜广泛增厚并大网膜增厚,提示腹膜及大网膜转移瘤。盆腹腔大量积液。脐疝。 双肺下叶多发局灶性纤维化,右肺门及纵隔淋巴结钙化。

CT检查病变占位符合囊腺瘤表现
【诊断】考虑卵巢癌并腹膜广泛转移累及脐部,腹水。
【治疗】由于该患者卵巢癌并腹膜广泛转移累及脐部,腹水,经中心主任胡群峰 教授会诊决定给予WB-1无创全身热疗系统治疗。
【WB-1无创全身热疗系统】WB-1无创全身热疗系统就是使患者的体温升至39.5℃~41.5℃,人为的给人体创造“发烧”的环境。而在此温度环境下,怕“热”的卵巢癌肿瘤就会被高热直接杀伤凋亡。因手术等常规手段清除不尽,或者现有技术手段根本无法发现的转移、扩散的卵巢癌肿瘤,尽管漏网之后狡猾的潜藏起来,却依然免不了被WB-1无创全身热疗系统追踪杀灭的命运。
【运动】嘱患者从轻度有氧运动开始,逐渐达到中度有氧运动。每周运动5次,待患者适应后逐渐加量至每周7次,运动时间1小时。
【复查】患者治疗2个疗程后,CT检查腹水症状大幅减少,但并未消失。
【回访】两月后再次检查,肿瘤标志物明显缩小,瘤体缩小变为8.7*6.9cm,腹水症状基本消失。陈女士表示目前精神状况良好,食欲有所增加,体重略有上升,疼痛症状缓解。陈女士感谢WB-1无创全身热疗系统提高了她的生活质量,延长了生存期。
点击快速进入预约挂号系统