为您节约时间,可输入您的号码点击回电,直接电话咨询!
星形细胞瘤是指以星形胶质细胞所形成的脑肿瘤,是脑胶质瘤的一种类型,属于恶性肿瘤。据文献报道,星形细胞肿瘤占颅内肿瘤的13%~26%,占胶质瘤21.2%~51.6%,男性多于女性。星形细胞肿瘤可发生在中枢神经系统的任何部位,一般成年多见于大脑半球和丘脑底节区,儿童多见于幕下。幕上者多见于额叶及颞叶,顶叶次之,枕叶最少。亦可见于视神经,丘脑和第三脑室旁;幕下者则多位于小脑半球和第四脑室,亦可见于小脑蚓部和脑干。
一、星形细胞瘤属3级(Ⅲ级)脑胶质瘤,对放化疗不敏感
星形细胞瘤为浸润性生长肿瘤,属于3级脑胶质瘤,绝大多数患者手术切除后会复发,且复发后可演变成间变性星形细胞瘤,或多形性胶质母细胞瘤,恶性程度更高。一般实质性星形细胞瘤难以根治性手术切除,对放疗、化疗均不敏感,效果很差。据最新临床统计,星形细胞瘤手术后平均复发时间约为2年,常规治疗后的平均生存期在2-3年,5年生存期仅为5%左右。普遍认为,常规手术、化疗、放疗对脑部恶性肿瘤效果较差,星形细胞瘤是目前非常棘手、难治的脑部胶质瘤。
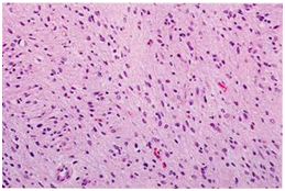
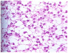
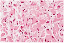
根据肿瘤的组织学特点,星形细胞瘤可分为纤维型、原浆型、肥胖细胞型等类型。下面是在显微镜下的常见的星形细胞瘤分型。


纤维性星形细胞瘤 原浆性星形细胞瘤


肥胖性星形细胞瘤 间变性星形细胞瘤
二、常用三大治疗方法,疗效普遍不好
1、手术:不可能完全切除
由于星形细胞瘤的生长特点,手术不可能完全切除,生长在脑干等重要部位手术效果更差,所以手术切除只能局限于以下5个方面目的:①明确病理诊断;②减少肿瘤体积降低肿瘤细胞数量;③改善症状缓解颅内压增高症状;④延长患者生命并为随后的综合治疗创造机会;⑤获得肿瘤细胞动力学资料,为寻找有效治疗提供依据。
2、放疗:普遍不敏感
除髓母细胞瘤对放疗高度敏感,室管膜瘤中度敏感外,其他类型的脑胶质瘤对放疗均不敏感。此外,放射性损伤对于脑功能的影响亦不可低估,放疗会对部分患者造成局部脱发、缺血、坏死、切口愈合不良甚至化脓感染、同时放疗也会引起脑水肿、脑组织缺血、坏死等严重后果。因肿瘤的部位、瘤体大小(一般限于2.0cm或3.0cm以下)、患者年龄等因素有关。
3、化疗:疗效尚不确定
静脉用化疗药物:目前常用的静脉用化疗药物,不易透过血脑屏障,对星形细胞瘤不易产生作用,且会造成白细胞降低、脱发、食欲下降、免疫力降低等毒副作用,疗效尚不肯定。常用BCNU、CCNU、VM-26等。
口服化疗药物:替莫唑胺胶囊是治疗脑胶质瘤的新型口服胶囊。但价格较贵,一般需6个疗程,每个疗程历时28天,每个疗程约需1-2万元。然而,长期服用,易出现耐药性,5年存活率易低于10%。
三、广州中医药大学金沙洲医院多项专利技术治疗脑胶质瘤
技术一:脑胶质瘤专利技术
广州中医药大学金沙洲医院肿瘤中心学科带头人胡群峰教授,针对脑胶质瘤的治疗经验丰富,(星形细胞瘤属于脑胶质瘤一种)科研成果卓著,已申报多项专利,包括《一种治疗脑胶质瘤的中药组合物》专利号:2014102239106;《一种通过促进免疫调节来治疗恶性肿瘤的针灸组合器》 证书号第3589925号等。通过治疗与预防相结合,有效控制病情,延长生存期。通过临床对比,采用胡群峰教授专利技术进行治疗,近期疗效为87.5%,常规治疗组有效率仅为57.2%,总生存率高于对照组。

胡群峰教授与专利脑胶质瘤技术(非公开技术)
技术二:第五代治癌技术,WB-1无创全身热疗系统
目前治疗肿瘤的方法,大致可手术、化疗、放疗和生物治疗四大类。WB-1无创全身热疗系统是继上述四类之后的第五代全身性治疗癌症的技术。在中国每隔2-3年召开一次肿瘤热疗学术会议,2014年召开第十二届,国际肿瘤热疗学术会议召开32届。在多个肿瘤热疗会议上,多位专家一致认为:癌细胞达到39.5℃会热死。

肿瘤热疗大会:国内已召开十二届、国际已召开32届
循证医学证实:利用世界领先的WB-1无创全身热疗系统,可以将人体组织加热到39.5℃—41.5℃持续60~90分钟,人体正常组织由于血液流动,不会过热,由于肿瘤结构紊乱、散热效果差,内部可达42℃—43℃,能有效杀灭肿瘤细胞,而正常组织细胞的温度安全界限为45℃±1℃,则不受影响。
WB-1无创全身热疗系统治癌原理
WB-1无创全身热疗系统使用的是915MHz聚束微波。人体的各种组织、体液均是由带电离子和极性分子组成。当机体接触频率高速变化的微波后,离子和分子来不及跟随交变迅速的磁场变化而产生分子扭动,人体内部分子便扭动产生分子震荡摩擦生热。当915MHz聚束微波透过人体组织,可对深部大血管内血液进行加热,借助血液循环,将热带到全身各处,达到全身热疗目的。目前,广州中医药大学金沙洲医院是获得“肿瘤深部热疗和全身热疗技术”临床应用医院,批准文号:粤卫技审字[2015]第0516号、医保编号:D0310151。
WB-1无创全身热疗系统治癌四大技术优势
①无创、无毒副作用,疗效确切。WB-1无创全身热疗系统利用高频水分子震荡摩擦生热的原理,通过血液的全身流动,精准控制温度,具有全身清扫的功能,直接杀灭肿瘤细胞,可替代化疗,疗效确切。经WB-1全身热疗治疗后,患者无放化疗引起的白细胞下降、骨髓抑制等毒副作用,疗效确诊。
②全身性清扫,适合术后巩固性治疗。WB-1全身热疗适用于早中晚期患者的治疗,通过全身清扫,有效治疗疾病。加热后的肿瘤细胞可以合成一种应激性蛋白,即热休克蛋白,它具有抗原性,能刺激机体免疫系统,提高机体免疫功能,防止癌细胞复发。
③肿瘤热疗技术成熟,临床成功案例多。国际肿瘤热疗案例已有数十万例,国内成功临床案例超过5万例。目前肿瘤热疗技术已有23个发达国家及地区在使用。包括:英国牛津大学丘吉尔医院、欧洲肿瘤研究所、西班牙HMT医院,日本千叶医院、香港大学玛丽医院、广州中医药大学金沙洲医院等。
④治疗费用低,已纳入医保。相比于几万至十多万一个疗程的化疗,WB-1全身热疗治疗费用为2700元/次,一个疗程6-8次,总费用2万左右。而且已经纳入医保报销,(医保编号:D0310151),大部分的肿瘤患者能承受得起治疗费用。
技术三:WB-1全身热疗联合基因治疗
研究已表明,通过注射基因进行治疗,可抑制肿瘤进展,对头颈部肿瘤特别敏感。基因的正性调节因子,在肿瘤的发展中起到关键作用。而WB-1全身热疗产生的DNA损伤导致肿瘤细胞周期阻滞,并引导细胞程序性死亡,即凋亡。当WB-1全身热疗联合基因治疗,可有效地重建人体内变异的基因,抑制肿瘤发展,肿瘤细胞对热疗敏感性明显提高,对肿瘤全方位地进行杀伤,疗效更彻底。
临床研究已证实:WB-1全身热疗联合基因,包括头颈部肿瘤、皮肤癌、宫颈癌、肺癌、胃癌、肠癌、食道癌、胆囊癌、卵巢癌、脂肪肉瘤、横纹肌肉瘤、复发性甲状腺癌和胸腹腔转移癌等。32%的病人肿瘤完全消退(CR),27%的病人肿瘤部分消退(PR),41%病人肿瘤停止生长(SD)。在美国、加拿大、日本和欧洲的30多个医学中心联合化疗或放疗治疗复发性晚期癌症病人,其疗效高于单纯放疗、化疗疗效3倍,没有毒副作用。

颞叶脑胶质瘤治疗前后对比
广州中医药大学金沙洲医院,按三级甲等建制的综合性医院,是广州中医药大学基础学院的教学医院、广东省中西医结合消化病防治中心、中国重症肿瘤患者定点救助医院,是广东省公费医疗、广州市公费医疗及各区公费疗的定点医院,是广州市城镇职工基本医疗保险、居民医疗保险和新型农村合作医疗的定点医院。医院连续多年获“全国十佳肿瘤医院”、“全国百姓放心医院”和“广州市先进集体”等荣誉称号。广州中医药大学金沙洲医院占地面积达500多亩,可开设床位3000多张,养老床位6000张,是华南地区实力雄厚的养医教研一体化的综合性医院。
截至2016年初,在广州中医药大学金沙洲医院肿瘤中心已有超过10000余例癌症患者接受WB-1无创全身热疗,其中3284例为手术后复发病例,化疗后复发或化疗无效3964例,直线加速器或常规放疗后复发或无效1671例,碘粒子植入术后复发64例,自体生物治疗无效687例,其它复发病例330余例,当采用WB-1无创全身热疗系统结合基因治疗,或其它治疗,均取得良好疗效,其中出现无瘤生存的患者达2000余例,数百位曾被放弃治疗或被断定只能存活1-3个月,均获得良好疗效,至今仍存活,患者生存率和生活质量显著提高,已发表数篇有关肿瘤热疗的学术论文。
点击快速进入预约挂号系统