为您节约时间,可输入您的号码点击回电,直接电话咨询!
导读:2013年11月,韩某因身体不舒服到医院检查,发现患有弥漫型肝癌,最大肿块3×4cm,门静脉有瘤栓,肝功能正常。于11月中旬和12月初各介入治疗一次,11月6日肝内肿瘤最大占位达9.6×7.3cm,12月中下旬出现腹胀,腹水。曾到多家医院就诊,服用多种药物,效果不佳。医生建议放弃治疗,估算只有1-2月寿命。

患者:韩某,男,69岁,山西人,2013年11月初影像学诊为肝癌,弥漫型。
症状:消瘦,乏力,腹胀,肝区疼痛,黄疸等。
诊断:在朋友的推荐下,2014年2月来到广州中医药大学金沙洲医院采用WB-1无创全身热疗系统治疗肝癌,通过专家诊断其为:晚期肝癌,弥漫型。CT检查,原发性肝癌。
治疗:专家针对病情,采用WB-1无创全身热疗系统进行治疗,通过特定频率的微波,让人体内部水分子震荡生热,从内部产生热能,通过血液流动到全身,60—90分钟内保持39.5—41.5℃(正常细胞可耐受45℃以下),便可有效杀灭全身游离、转移的癌细胞,缩小瘤体、增强自身免疫力。
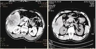
效果:经过一个疗程的治疗后复查,CT显示瘤体明显缩小,腹水全部消失。疼痛症状有效缓解,食欲增强,体重略有增加,精神状况明显好转,生活质量显著提高,生活可自理。2014年5月再次到医院复查,身体恢复良好,可像正常人一样生活。

治疗前后对比图
第五代治癌技术:
WB-1无创全身热疗系统彻底取代化疗、生物治疗
近年来,我国肿瘤全身热疗普及工作得到了政府和学界的高度重视,大力开展全身热疗抗癌技术的研究。WB-1无创全身热疗系统经5万多例癌症患者临床验证,临床康复率达98.67%。
经临床验证,WB-1无创全身热疗系统作为第五代治癌技术,比传统的化疗、生物治疗,具有无可比拟的优势。目前在广州中医药大学金沙洲医院肿瘤综合诊疗中心,采用WB-1无创全身热疗系统治疗各种癌症,无需化疗或生物治疗便可达到确切疗效,病人不痛苦,无毒副作用,而且杀瘤特异性强,能够激发全身性的抗癌效应,对多发病灶或转移的恶性肿瘤非常有效,尤其对癌症术后防复发效果显著,远期抗癌效果良好。
点击快速进入预约挂号系统