为您节约时间,可输入您的号码点击回电,直接电话咨询!
导读:2013年11月,湖南的余某,男,73岁,因为呼吸异常、恶心呕吐、胸痛,在家人的陪同下前往医院看病,结果被诊断为肺癌骨转移,随即住进某人民医院,化疗两个月,产生剧烈副作用,天天恶心,呕吐厉害。由于检查发现肿瘤还是转移到了血管,没有手术指征,无法接受手术治疗。
2014年3月,余某的家属通过网络,了解到广州中医药大学金沙洲医院肿瘤综合诊疗中心引进第五代全身治疗癌症系统——WB-1无创全身热疗系统结合基因治疗,便把余某从湖南转到广州进行治疗。由于余某病情严重,当时已经无法正常行走。广州中医药大学金沙洲医院特意为他开出绿色通道,派救护车到广州白云机场接他住院。

晚期肺癌骨转移,无需化疗成功康复
经过专家的会诊,余某癌细胞已经出现骨转移,对化疗不敏感,只能采用WB-1无创全身热疗系统结合基因进行治疗。在采用WB-1无创全身热疗系统治疗3次后,余某病情迅速好转,全身疼痛、腹水等症状全面消失,可以慢步行走。据余某自述,WB-1无创全身热疗系统几乎没有任何不适,只是治疗后会出大量的汗,相比化疗的副作用他心有余悸地说,“吃了两个疗程靶向药,再加上化疗的副作用,当时我的脸上都是疙瘩,一层一层的,白细胞严重下降,脸上、腿上都暴皮、脱发、呕吐很严重,现在还能看到花纹。”
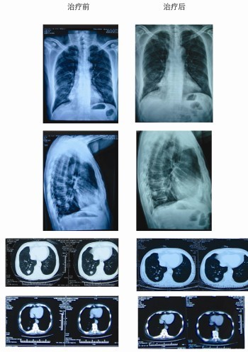
由于余某的病情比较严重,根据专家的建议,余某在医院接受了两个疗程的治疗。4月初,余某病情稳定,肺部肿瘤回缩达21.8%,转移的癌细胞被全部清除。
据广州中医药大学金沙洲医院肿瘤专家介绍,WB-1无创全身热疗系统结合基因治疗,无需手术,克服了传统治疗方式不彻底、易转移、副作用大、疗效不确切的弊端,对患者伤害接近于零。因此对那些因年老体弱,或者放、化疗后出现耐受反应的中晚期患者,更是提供了最佳治疗方案。

第五代治癌技术:WB-1无创全身热疗系统
据了解,广州中医药大学金沙洲医院肿瘤综合诊疗中心引进第五代治癌技术——WB-1无创全身热疗系统后,(部分患者结合基因治疗)已成功临床治愈5000余位中晚期癌症患者。这些人中,有的是术后出现病灶转移、扩散,对人生充满绝望;有的正饱受放、化疗的痛苦,期待更先进的治疗方法;还有很多被医生判定死缓,抱着最后的希望来到广州中医药大学金沙洲肿瘤医院综合诊疗中心,5000余位患者的治疗效果证明:采用WB-1无创全身热疗系统,无需化疗,便为他们延长了生存时间,提高了生命质量,达到了和欧美国家同步的治疗效果,实现了长期带瘤生存。
点击快速进入预约挂号系统