肺癌Ⅳ期:全身热疗+基因治疗2疗程健康出院

门诊时间:08:00-18:00 疾病疑问咨询入口

在线咨询

为您节约时间,可输入您的号码点击回电,直接电话咨询!

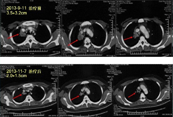
  患者姓名:马小姐,33岁,确诊为肺癌

  简要病史:经过朋友推荐来到广州中医药大学金沙洲医院肿瘤综合诊疗中心医院进行检查,检查后诊断右肺上叶肺癌,纵膈淋巴结转移,腰椎转移,心包积液,多发骨转移,多发脑转移,手术风险很大,朋友、家人都着急了,患者自己也慌了,听从专家的安排,进行多学科综合治疗治疗:WB-1无创全身热疗系统+基因治疗,两个疗程之后,患者健康恢复显著,半个月患者出院。


点击快速进入预约挂号系统
专家提醒:癌症患者以及家属需争取癌症的最佳治疗时机,通过合适自身的治疗方法联合科学康复模式,才是治疗癌症的正确方法。我院有国际肿瘤名医亲自坐诊,点击在线咨询或者上传检查报告以及拨打热线电话020-81116661向专家咨询治疗建议。